
Odontoiatria restaurativa
I laboratori odontotecnici a cui ci affidiamo per la preparazione di intarsi, corone e ponti utilizzano abitualmente ceramiche feldspatiche, disilicato di litio e zirconia, minimizzando l’utilizzo delle leghe.
Protesi metal-free
I laboratori odontotecnici a cui ci affidiamo per la preparazione di intarsi, corone e ponti utilizzano abitualmente ceramiche feldspatiche, disilicato di litio e zirconia, minimizzando l’utilizzo delle leghe.
Ricostruzioni dirette
Vengono eseguite direttamente `alla poltrona` dal dentista, che tramite l’apporto di materiali compositi ricostruisce la struttura dentale mancante ristabilendo l’anatomia originale dell’elemento.
Vengono definite anche otturazioni, e vengono suddivise in diverse categorie in base alla zona del dente che andrà ricostruita. Generalmente, tutte quelle lesioni cariose intercettate negli stadi iniziali, consentono al dentista di rimuoverle ed effettuare direttamente, nella stessa seduta, la ricostruzione: questo assicura un notevole risparmio in termini di tempo, ma anche in termini economici.
Prima

Dopo

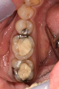
Ricostruzioni indirette
Queste ricostruzioni richiedono l’intervento dell’odontotecnico, che riproduce fedelmente la porzione di dente mancante sulla base delle indicazioni ricevute dal dentista, il quale poi provvede a cementare il manufatto per ristabilire la corretta anatomia dentale.
Quando la lesione cariosa viene intercettata nelle fasi più avanzate, la sostanza dentale sana rimasta non è spesso sufficiente per poter ricostruire direttamente l’elemento tramite una semplice otturazione. Per questo, spesso anche nel caso di fratture, è necessario intervenire tramite intarsi (onlay-overlay) o corone (“capsule”). Questo tipo di ricostruzioni si rendono necessarie quando la quantità di dente da ricostruire è molto grande. Servono generalmente più appuntamenti: in una prima fase il dentista rimuove il tessuto danneggiato conferendogli una geometria sicura per l’alloggiamento del manufatto, e procede con l’impronta. La presa d’impronta può quasi sempre essere effettuata con metodiche digitali avvalendosi dello scanner intraorale. Quindi, l’odontotecnico, basandosi sull’impronta acquisita dal dentista, costruisce il manufatto che andrà a sostituire la porzione di dente mancante (o nel caso di ponti, gli elementi mancanti).
Prima

Dopo

Quali materiali vengono utilizzati?
I materiali utilizzati sono perlopiù compositi e ceramiche: in ogni caso i denti ricostruiti, le corone o i ponti non sono distinguibili dagli elementi naturali. A volte, soprattutto per i denti anteriori, sono necessari più appuntamenti per trovare le giuste tonalità e sfumature e rendere il manufatto completamente indistinguibile dai denti adiacenti.
Contattaci
e fissa un appuntamento
La nostra équipe è pronta a fornirti una consulenza personalizzata.

